Bonding 

Bonding Mikołów

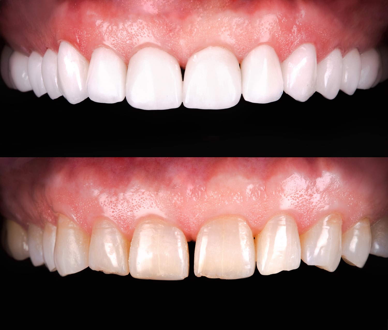
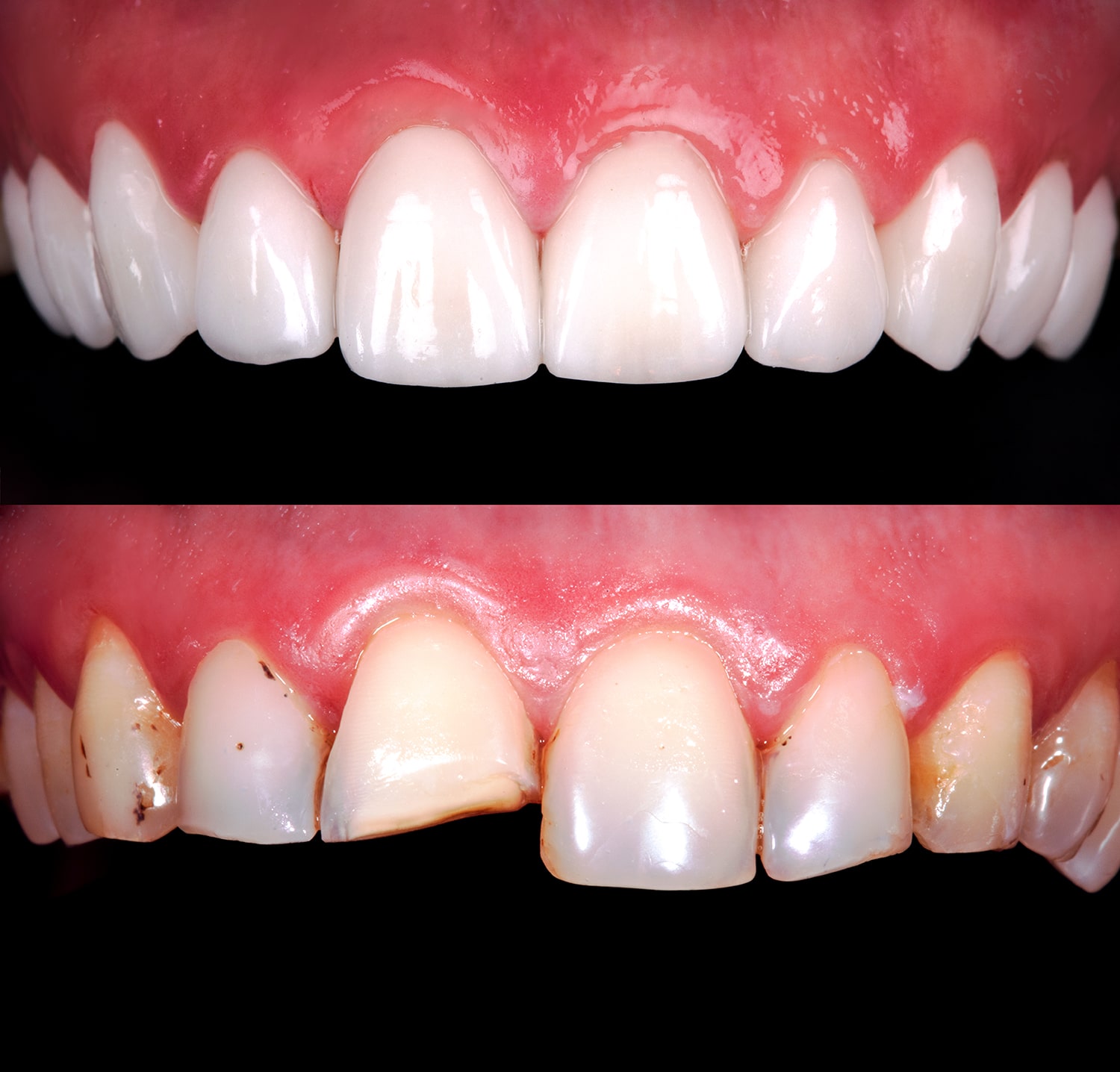
Estetyczne odbudowy zębów z wykorzystaniem materiałów kompozytowych zwane bondingiem są mało inwazyjnym i nisko kosztowym sposobem na szybką poprawę uśmiechu.

Polega on na pokryciu  zęba cienką warstwą materiału kompozytowego o wysokich właściwościach estetycznych. Zabieg ten nie wymaga szlifowania zębów, jak  jest to w przypadku koron i licówek porcelanowych , a jedynie czasami niewielkiej preparacji szkliwa lub jego zmatowienia. Zadowalający efekt estetyczny można osiągnąć podczas jednej wizyty w gabinecie stomatologicznym. Przy zachowaniu dobrej higieny jamy ustnej i regularnych wizytach kontrolnych w gabinecie stomatologicznym takie odbudowy mogą funkcjonować prze wiele lat.

Bonding

Zalety bondingu

  • Brak lub minimalna ingerencja w tkanki zęba
  • Zabieg jest prawie całkowicie odwracalny
  • Możliwość korygowania – poprawy koloru i kształtu, dokładania i zbierania materiału
  • Szybki efekt
  • Kompatybilność z tkankami przyzębia
  • Niski koszt w porównaniu z koronami i licówkami porcelanowymi

Wskazania do wykonania bondingu

  • Korygowanie kształtu zębów np. po urazach
  • Odbudowa uszkodzeń szkliwa
  • Maskowanie przebarwień
  • Zamknięcie przerw między zębami, np. diastemy
  • Korygowanie kształtu po leczeniu ortodontycznym
Bonding

Przeciwwskazania do bondingu

  • Obecność próchnicy, chorób dziąseł i przyzębia, które muszą być wcześniej wyleczone
  • Zbyt rozległe zniszczenie korony zęba – wtedy preferowane są korony protetyczne
  • Bruksizm i parafunkcje – ze względu na to, że te problemy powodują uszkadzanie szkliwa i wypełnień poprzez nadmierne ścieranie zębów, mogą również doprowadzać do uszkadzania odbudowanych powierzchni. Można minimalizować skutki bruksizmu poprzez używanie odpowiedniej szyny zgryzowej.
  • Zła higiena

Jak wykonuje się bonding?

Procedura wykonania bondingu jest podobna do tej, z pomocą której robi się wypełnienia światłoutwardzalne. W pierwszej kolejności przygotowuje się powierzchnię zęba przez zmatowienie jej delikatnym narzędziem lub niewielką preparację. Następnie wytrawia się przygotowane miejsce specjalnym kwasem ortofosforowym. Potem nakłada się bond – czyli płynny system wiążący ząb z materiałem kompozytowym. Po utwardzeniu go światłem nakłada się kolejne warstwy kompozytu i modeluje je do pożądanego kształtu. Na końcu koryguje się wykonaną pracę specjalnymi frezami do uzyskania pożądanego efektu i poleruje się z pomocą gumek, szczoteczek i past nabłyszczających.

Bonding

Wady bondingu

Obok wielu zalet należy jednak pamiętać o wadach tego rozwiązania wynikających z tego ,że materiał kompozytowy jest mniej odporny na czynniki zewnętrzne niż szkliwo naturalne i porcelana. Trwałość bondingu zależy od stopnia higieny jamy ustnej , nawyków żywieniowych pacjenta oraz jakości użytych materiałów. Przy zachowaniu dobrej higieny i regularnych wizytach kontrolnych i higienizacyjnych w gabinecie  może ona wynosić kilka do kilkunastu lat. W celu przedłużenia żywotności na wizytach kontrolnych można usunąć pojawiające się przebarwienia i ponownie wypolerować zęby. W przypadku znacznych zmian pogarszających estetykę można  wykonać zabieg ponownie

545a0694 Edit

Umów wizytę

Rezerwacja wizyty dentysta Mikołów

Zapraszamy do skorzystania z naszej łatwej i szybkiej rezerwacji wizyty u dentysty w Mikołowie! Nasz przyjazny personel jest gotowy, aby zapewnić Ci profesjonalną opiekę stomatologiczną w dogodnym dla Ciebie terminie. Zarezerwuj swoją wizytę już dziś i ciesz się zdrowym uśmiechem bez stresu i czekania!

Stomatologia Chmielowska Logo

Zapewniamy kompleksową opiekę stomatologiczną na najwyższym poziomie, obejmującą nowoczesne technologie, przyjazną atmosferę i doświadczony zespół lekarzy stomatologów dbających o zdrowie i uśmiech naszych pacjentów.

 

Umów wizytę

Przewijanie do góry